Nachdem sich Holstein-Kuh Kalani das Bein gebrochen hatte, entschied sich Besitzer Adrian
Uebersax aus Thörigen BE gegen die Notschlachtung und für eine Operation. Er erzählt, was ihn dazu bewogen hat.
«Schweizer Bauer»: Ihre Kuh Kalani hat sich das Bein gebrochen. Können Sie schildern, wie es dazu kam?
Adrian Uebersax: An dem Tag haben wir bei den Kühen die Klauenpflege vorgenommen. Wir machen das alle vier Monate während zweier Tage mit dem gleichen Klauenpflegern und sind ein gut eingespieltes und routiniertes Team. Kalani war etwa die 70ste Kuh, die wir in den Klauenstand genommen haben. Alles ist reibungslos gegangen. Nach der Klauenpflege haben wir sie aus dem Stand gelassen und sie ist ganz ruhig rausgelaufen. Ich vermute, dass sie anschliessend einen Misstritt gemacht hat, denn wir haben gesehen, dass sie auf drei Beinen in die nächste Liegeboxe gehumpelt ist und sich dort hingelegt hat. Sie ist weder umgefallen noch ausgerutscht und hat ganz einfach einen blöden Schritt gemacht.
Was ist danach geschehen?
Wir haben uns das Bein angesehen und der Verdacht auf einen Bruch war relativ schnell im Raum. Kalani wurde anschliessend in der Liegebox fixiert und ich habe unseren Tierarzt angerufen. Ivo Zimmermann von der Tierarztpraxis Berghof in Hildisrieden LU ist vorbeigekommen und hat den Verdacht eines Beinbruchs bestätigt. Wir haben gemeinsam die verschiedenen Möglichkeiten besprochen. Da Ivo Zimmermann zuvor im Tierspital Zürich gearbeitet und verschiedene Kontakte hat, stand neben der Notschlachtung auch eine mögliche Operation zur Diskussion.
Sie haben sich dazu entschlossen die Kuh nicht Not zu schlachten, sondern behandeln zu lassen. Wie erfolgte die Bergung des Tieres?
Als erstes musste zusätzliches Gipsmaterial besorgt werden, um das Bein und die Bruchstelle zu fixieren. Dank der Mithilfe anderer Tierarztpraxen konnte genügend Gips besorgt werden. Die Zusammenarbeit hat super funktioniert, da war überhaupt kein Konkurrenzdenken und alle haben uns im Sinne des Tieres ausgeholfen, das hat mich beeindruckt und gefreut.
Gab es Probleme?
Zu diesem Zeitpunkt war noch nicht klar, ob eine Operation überhaupt möglich ist. Zuerst haben wir mit dem Tierspital Bern geschaut, weil dies natürlich von unserem Betrieb aus näher ist. Mir war es ein Rätsel, wie wir Kalani aus der Liegeboxe bis ins Tierspital bekommen sollen und wie das mit dem Transport funktionieren soll. Nach einigen Abklärungen war klar, dass das Tierspital Zürich mit einer speziellen Transportmöglichkeit ausgestattet ist. Obwohl der Weg nach Zürich weiter ist und der Transport somit teurer, habe ich mich aufgrund der Transportmöglichkeit entschieden, Kalani nach Zürich transportieren zu lassen.
Um was für eine Transportmöglichkeit handelt es sich dabei?
Um eine spezielle Matratze. Wir haben Kalani zu zweit von der Liegeboxe auf diese Matte geschoben. Dort wurde sie fixiert. Matte samt liegender Kuh wurden mit einer Seilwinde in das Fahrzeug gezogen und so nach Zürich transportiert. Kalani hat super mitgemacht, ist immer ruhig liegen geblieben und hatte aus meiner Sicht sehr wenig Stress.
Was ist dann im Tierspital geschehen?
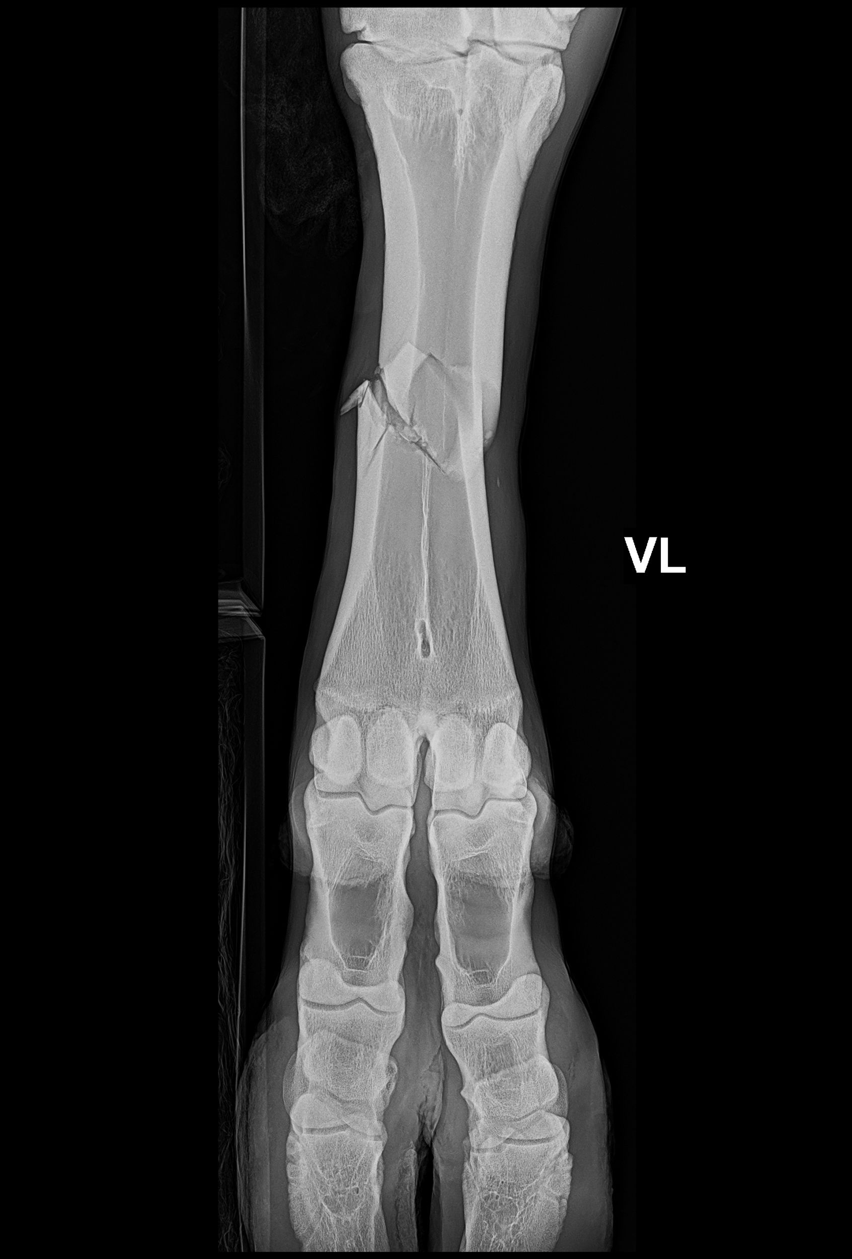
Das Bein wurde samt Gips geröntgt, man hat gesehen, dass sich der Bruch nicht verschoben hat. Der Bruch war an einer Stelle, an der eine Operation mit grossen Erfolgsaussichten theoretisch möglich war. Für Kalani gab es drei Behandlungsmöglichkeiten. Erstens: Keine Operation und das Bein nur mit Gips fixieren und stabilisieren. Zweitens: Eine Operation mit leichter Fixierung der Bruchstelle mit Schrauben und Gips. Drittens: Eine Operation mit Fixierung der Bruchstelle mit Platten und Schrauben und einem Gips.
Wie haben Sie sich entschieden?
Ich habe gesagt, wenn schon, dann die Möglichkeit mit der grössten Erfolgsaussicht und das war die Dritte. Kalani wurde am nächsten Morgen noch einmal ohne Gips geröntgt, die Ausgangslage und Erfolgschancen waren so gut, dass anschliessend in einer 5,5-stündigen Operation der Bruch fixiert wurde.
Wie hoch sind die Erfolgschancen einer richtigen Genesung des Tieres?
Bei der dritten Option haben die Tierärzte eine Erfolgschance von 70 bis 80 Prozent prognostiziert.
Wie sieht der Alltag der Kuh im Moment aus?
Kalanie ist in einer Einzelbox im Tierspital Zürich. Dort wird sie im Moment alle zwei Stunden überwacht. Jeden Morgen wird Fieber gemessen und geschaut, ob mit dem Gips alles in Ordnung ist. In zehn Tagen werden die Klammern, welche die OP-Wunde zusammengehalten gezogen und der Gips erneuert. Im Tierspital wird sie auch gemolken, da sie noch während rund zwei Monaten in Laktation stehen würde.
Ab wann kann sie wieder normal im Betriebsalltag mitlaufen und in die Herde integriert werden?
Man rechnet damit, dass der Bruch nach 6 bis 8 Wochen verheilt ist. Kalani wird nun zwei Monate im Tierspital bleiben, bis sie vollständig gesund ist. In zwei Monaten wäre sie sowieso in die Galtphase gekommen, von daher passt es super, wenn sie nach Hause kommt, wird sie in eine kleinere Gruppe Galtkühe kommen und auf den Weiden rund um den Betrieb ihre Muskulatur wieder aufbauen können und sich langsam wieder an den Betriebsalltag gewöhnen.
Wieso haben Sie sich für eine Operation und nicht für die Notschlachtung entschieden?
Für mich gibt es fast nichts Schlimmeres als eine tragende Kuh zu schlachten. Kalani ist im 5. Monat trächtig. Als erstes war meiner Partnerin und mir wichtig abzuklären, ob es überhaupt möglich ist, Kalani behandeln zu lassen. Zweitens mussten wir natürlich wissen, ob das Ganze auch zahlbar ist. Heute ist viel möglich, wenn man den Tierärzten die Möglichkeit gibt. Wir haben die Chancen und Risiken abgewogen. In Kalanis Fall hat wirklich alles gepasst und die Voraussetzungen für eine erfolgreiche Operation und Genesung waren sehr gut. Aus Respekt gegenüber unserer Kuh haben wir uns entschieden eine Operation zu wagen. Kalani hat von A-Z gut mitgemacht und alle beteiligten haben eine Bombenarbeit geleistet.
Hätten Sie bei einer anderen Kuh auch so entschieden?
Ja, vor allem jetzt, wo ich weiss, dass es diese Möglichkeit überhaupt gibt, werde ich bei jedem meiner Tiere auch diesen Weg prüfen. Wichtig ist, dass wirklich von Fall zu Fall abgewogen wird. Wenn alles passt, so wie bei Kalani, dann sicher sofort wieder, manchmal ist aber eine Notschlachtung für das Tier und den Betrieb die bessere Lösung.
Was ist das Besondere an Kalani?
Kalani ist in der zweiten Laktation und mit dem dritten Kalb (gesext mit Doral) trächtig. In der ersten Laktation hat sie 10’500 kg Milch gegeben, bis vor dem Unfall war sie in der jetzigen Laktation auf 12’000 kg. Ich habe nun seit 21 Jahren einen Laufstall mit Melkstand. Kalani hat es als bisher einziges Tier in all den Jahren fertiggebracht, als Rind die Treppe runter in den Melkstand zu laufen. Als ich mich umdrehte, stand sie hinter mir. Wenn sie sich damals das Bein gebrochen hätte, hätte ich es ja noch verstanden.
Betriebsspiegel
Produktionsform: ÖLN-Betrieb, Talzone
Fläche und Nutzung: 21 ha Futterbau und Mais
Tiere: 85 Milchkühe, vor allem Holstein
Arbeitskräfte: Adrian Uebersax und Lebenspartnerin Brigitte Füri.
Und wie kam sie aus der Situation wieder heraus?
Zu viert haben wir es dann geschafft, die junge Kalani unbeschadet wieder aus dem Melkstand zu bringen. Ausser dieser kleinen Anekdote aus ihrer Jugendzeit ist Kalani eine sehr problemlose und wirtschaftliche Kuh. Sie fällt nicht auf, ist funktionell und sehr vif auf den Beinen. Das hat ihr vermutlich auch das Leben gerettet, da sie sich so auf drei Beinen bis zur Liegeboxe gekommen ist und ruhig hinlegen konnte ohne davor noch x-Mal umzustürzen oder hinzufallen.
Wie waren die Rückmeldungen zu diesem Entscheid?
Die Rückmeldungen waren sehr positiv und es gab sogar internationale Reaktionen darauf. Ich hätte nie gedacht, dass es so viele Rückmeldungen gib. Indem wir gemacht haben, was wir immer machen, nämlich mit Respekt gegenüber den Tieren zu handeln und zu entscheiden, haben wir unbeabsichtigt ein gutes Bild für die Landwirtschaft und den Umgang mit den Nutztieren hinterlassen. Der Fall Kalani zeigt, dass es manchmal etwas mehr braucht und dass man manchmal auch andere Wege gehen kann als üblich. Es ist für mich eine Geschichte, aus der ich Kraft schöpfen kann.

zvg
Wie sieht es mit den Kosten aus?
Eine konkrete Zahl möchte ich nicht nennen, der Kostenvoranschlag überschreitet den Wert des Tieres nicht. Bei Nutztieren sind Operationen zum Glück zahlbar, teuer ist vor allem das OP-Material zum Bespiel die Platte, welche eingesetzt wurde. Bei Pferden und Heimtieren wären die Kosten viel höher gewesen.
Beenden Sie die Sätze…
Kalani ist….Teil des Teams Schlosswald Holstein und trägt ihren Teil für den Erfolg des Betriebes bei, ohne unsere Kühe wären wir nichts.
Eine Operation bei einer Kuh ist… wie bei Menschen, manchmal die bestmögliche Lösung, um wieder laufen zu können, in diesem Fall die beste Erfolgsaussicht.
Landwirtschaft ist…für mich Leidenschaft, Herzblut und Tradition.









