Es war eine schlimme Wendung im BSE-Szenario: Die Krankheit Bovine spongiforme Enzephalopathie (BSE), die Kühen das Hirn zerfrass, war über den Verzehr von Fleisch auf Menschen übertragbar. Zehntausende Kühe waren schon an BSE erkrankt, als die britische Regierung diese Hiobsbotschaft verkündete.
Gut zwei Jahrzehnte ist es her, dass junge Frauen und Männer Symptome der neuen Seuche entwickelten. 1995 folgten erste wissenschaftliche Beiträge zur sogenannten vCJK, einer Variante der Creutzfeldt-Jakob-Krankheit.
16 und 18 Jahre alt waren die beiden Patienten, über die britische Neurologen 1995 im Fachmagazin «Lancet» berichteten. Rasch kamen immer mehr junge Betroffene hinzu - Studenten, Berufsanfänger, junge Mütter. Der bisher jüngste Patient war bei Krankheitsbeginn zwölf Jahre alt. Im Schnitt sterben Menschen mit vCJK vor ihrem 30. Geburtstag. Die Schwankungsbreite ist allerdings gross.
Ihren Höhepunkt erreichte die Epidemie vor 17 Jahren, 28 Menschen mit Todesursache vCJK gab es im Jahr 2000 weltweit. Seither sanken die Zahlen. In der Schweiz wurde bisher kein einziger vCJK-Fall erfasst.
BSE
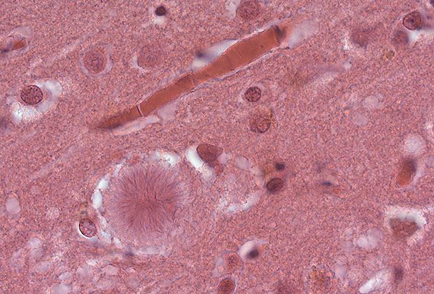
Die BSE (auch Rinderwahnsinn genannt) hat eine lange Inkubationszeit und endet stets tödlich. Es gibt weder Schutzimpfungen noch Behandlungsmöglichkeiten. Im Verlauf der Krankheit häufen sich in bestimmten Gehirnarealen abnormal verdrehte Prionen an. Sie führen zu einer fortschreitenden Zerstörung der Nervenzellen. Das Nervengewebe nimmt ein schwammartiges (=spongiformes) Aussehen an. Prionen sind Eiweissstoffe, welche in ihrer normalen Gestalt natürlicherweise in jedem Gehirn vorkommen.
Durchschnittlich vier bis sechs Jahre nach Ansteckung eines Rindes bricht die BSE aus. Symptome sind erhöhte Schreckhaftigkeit, Angst vor dem Überschreiten des Kotgrabens, vor Durchgängen, vor kleinsten Hindernissen. Weitere Anzeichen sind Aggressivität, häufiges Belecken der Nase, Zähneknirschen, immer steifer werdender Gang und Überempfindlichkeit auf jegliche äussere Einflüsse. Im Endstadium können die Rinder nicht mehr aufstehen. In vielen Fällen sind aber die Symptome nur sehr schwach ausgeprägt oder gar nicht erkennbar.
Rinder können sich mit BSE anstecken, wenn sie ungenügend erhitzte, mit Prionen infizierte Tierkörpermehle fressen. BSE wurde 1986 erstmals in Grossbritannien entdeckt. Im November 1990 wurde in der Schweiz der erste BSE-Fall diagnostiziert. Bundesamt für Lebensmittelsicherheit und Veterinärwesen BLV



